מרפאת שיניים - ד"ר ממלידר - עזרה ראשונה חירום - שיקום הפה - הלבנת שיניים בלייזר - הוד השרון

במרפאת שיניים ד"ר ממלידר בהוד השרון מתמחים בעזרה ראשונה חירום ושירותי שיקום הפה. הצוות המקצועי מציע טיפולים מתקדמים כמו הלבנת שיניים בלייזר, שמשדרגת את החיוך שלכם בשיטות מת modernas ויעילות. תחום ההתמקצעות של המרפאה והמחויבות לאיכות הטיפול מקנים למטופלים חוויה נינוחה ובטוחה.

- כתובת: ישורון 45 א, הוד השרון, 4520059, ישראל
- טלפון: +972 77-818-1087
- מאפיינים: מרפאת שיניים
- אתר אינטרנט: אֲתַר אִינטֶרנֶט
- דירוג: 5.0 / 5
- מספר ביקורות: 2
לוח זמנים:
- יום חמישי: 10:00–18:00
- יום ראשון: 10:00–18:00
- יום רביעי: 10:00–18:00
- יום שבת: סגור
- יום שישי: 10:00–14:00
- יום שלישי: 10:00–18:00
- יום שני: 10:00–18:00
תכונות של מרפאת שיניים - ד"ר ממלידר - עזרה ראשונה חירום - שיקום הפה - הלבנת שיניים בלייזר
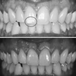
מרפאת שיניים ד"ר ממלידר מציעה שירותים רפואיים מקצועיים בתחום הדנטלי. עם מיקום נוח בכתובת ישורון 45 א, הוד השרון, מרפאה זו מתמחה במגוון רחב של טיפולים, כולל שיקום הפה, הלבנת שיניים בלייזר, ושירותי עזרה ראשונה חירום.
המרפאה מתהדרת בציוד חדיש ובטכנולוגיות מתקדמות, אשר מאפשרות לה להעניק טיפולים איכותיים ומתקדמים. צוות המרפאה מורכב ממומחים בתחום הדנטלי, שמספקים תשומת לב אישית לכל מטופל, עם יחס חם ומקצועי. מפורסמת בשירותיה המצוינים, המרפאה זכתה לציון גבוה של 5.0 מתוך 5 על ידי שני לקוחות מרוצים.
ד"ר ממלידר ושאר הצוות פועלים להעניק פתרונות מותאמים אישית, עם דגש על נוחות וביטחון המטופלים. בקליניקה ישנו דגש על שיטות טיפול חדשניות, שמטרתן להקל על חווית המטופל ולצמצם ככל האפשר את הכאב והדאגה הנלווים לטיפולים דנטליים.
בנוסף, המרפאה תומכת בהעלאת המודעות לחשיבות של טיפול מונע, כוללת ייעוץ אישי בנושא בריאות השיניים ומביאה לשיפור הבריאות הכללית של הפה. ללקוחות יש אפשרות ליצור קשר בטלפון +972 77-818-1087 לקבלת מידע נוסף או לקביעת תור.
מרפאת שיניים ד"ר ממלידר שואפת להיות הבחירה הראשונה עבור תושבי הוד השרון והסביבה, עם שירותים איכותיים, מקצועיים ומתקדמים שמספקים פתרונות לכל צורך דנטלי.
ביקורות על מרפאת שיניים - ד"ר ממלידר - עזרה ראשונה חירום - שיקום הפה - הלבנת שיניים בלייזר
במרפאת שיניים - ד"ר ממלידר, לקוחות מדווחים על שירות מצוין וחוויה טובות במהלך הטיפול. המדריכים הרפואיים שמבצעים את העבודות מדגישים את המקצועיות והאדיבות שלהם, מה שגורם למבקרים להרגיש נועדים ונוח במהלך הטיפולים.
- עדות של דניאל פיינבורג: הגיע בשעת לילה לקבוע עקירה וכבר תוך רבע שעה קיבל טיפול איכותי בלי כאב, עם מקצועיות והומור.
- עדות של יוסף ירושלים: טיפול אדיב ומסביר פנים, מה שהוסיף לחוויית הלקוח באופן כללי.
בסך הכל, המרפאה מתמודדת היטב עם מצבי חירום ומספקת פתרונות לשיקום הפה והלבנת שיניים בלייזר, עם דרגה של 5.0 מתוך 5.
ביקורות של לקוחות

daniel fainburg
דֵרוּג: 5/5
00:30 בלילה כאב שן לא כיף בכלל, הגעתי לדר׳ ממלידר תוך רבע שעה כבר הייתי אחרי עקירה שלא הרגשתי בכלל! וכל זה בסופר מקצועיות הרבה הומור ומחיר באמת הוגן, אלף תודות הלכתי לישון רגוע ביי:)

Yosef Yerushalmi
דֵרוּג: 5/5
טיפול אדיב ומסביר פנים
תמונות מעניינות יותר
ד"ר סאמי מסארוה מרפאת שיניים Dr Samy Masarwa Dental Clinic - טייבה
מרפאת שיניים ואסתטיקה ד"ר מוראד ע. אבוגוש - אבו גוש
מרפאת שיניים B-CLINIC | בית שאן - בית שאןאם ברצונך לקרוא עוד מאמרים כמו מרפאת שיניים - ד"ר ממלידר - עזרה ראשונה חירום - שיקום הפה - הלבנת שיניים בלייזר - הוד השרון, אנו ממליצים לך לבדוק את הקטגוריה שלנו ביקורות.
כתיבת תגובה
מאמרים קשורים